
Discover Our Blogs
Welcome to Peninsula Center of Cosmetic Dentistry
Are you looking for a dental practice that goes above and beyond to provide exceptional care and stunning results? Look no further than Peninsula Center of Cosmetic Dentistry (PCCD). With three convenient locations in Los Altos, Mountain View, and Cupertino, PCCD is redefining the dental experience for patients seeking world-class cosmetic dentistry in a spa-like setting.

Building Trust in Service-Oriented Businesses: An Interview with Allison Heaney, President of Skaggs-Walsh
Peninsula Center of Cosmetic Dentistry (PCCD) sat down for a Q&A with Allison Heaney, President of Skaggs-Walsh, the top heating oil delivery service and home comfort company in New York City and the surrounding areas. We discussed how to build lasting trust with customers and the importance of this trust in service-oriented businesses.

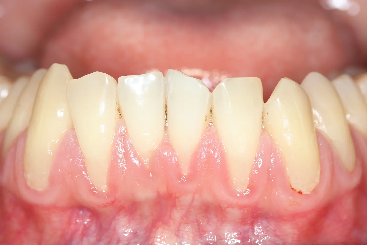
Ozempic Mouth: What Patients Need to Know About GLP1 Medications and Oral Health
Over the past year, I’ve noticed a surprising trend in my dental practice: more and more patients who are taking medications like Ozempic are coming in with new dental issues—things like gum recession, dry mouth, and even cracked teeth. These are often patients who’ve never had major dental concerns before.

The Cosmetic Dentist's Most Popular Treatments
In today’s appearance-conscious society, having a bright and healthy smile can significantly impact your overall demeanor and self-confidence. At the Peninsula Center of Cosmetic Dentistry in Mountain View, we understand the power of a beautiful smile. Our cosmetic dentists are experts in transforming smiles with advanced, patient-centered treatments. If you're considering enhancing your smile, here’s a look at the most popular cosmetic dental treatments provided at our Mountain View location, as well as our other clinics in Los Altos and Cupertino.

Am I a Good Candidate for Cosmetic Dentistry Treatment?
Cosmetic dentistry has emerged as a beacon of hope for many looking to enhance their smile and boost their confidence. At the Peninsula Center of Cosmetic Dentistry in Cupertino, we specialize in creating beautiful smiles through a variety of treatments tailored to meet individual needs and expectations. Whether you reside in Rancho Rincondada, Calvert, Birdland Neighbors, or any surrounding areas, our practice is ideally positioned to guide you on the journey to your best smile.

What Can a Cosmetic Dentist Do for My Smile?
At the Peninsula Center of Cosmetic Dentistry, our Los Altos location, along with our offices in Mountain View and Cupertino, offers a variety of advanced cosmetic dental treatments designed to enhance not just your smile but also your overall confidence and quality of life. A cosmetic dentist specializes in improving the appearance of your teeth, gums, and bite. Here’s what our skilled cosmetic dentists can do for your smile through our state-of-the-art services.

Unlock Your Most Confident Smile at Peninsula Center of Cosmetic Dentistry
At Peninsula Center of Cosmetic Dentistry (PCCD), we believe that your smile is more than just teeth – it’s the gateway to confidence and a true reflection of your personality. Serving the Los Altos, Cupertino, and Mountain View communities, we’ve made it our mission to transform smiles and lives with a unique blend of passion, originality, and cutting-edge technology.

Welcome to Peninsula Center of Cosmetic Dentistry
Are you looking for a dental practice that goes above and beyond to provide exceptional care and stunning results? Look no further than Peninsula Center of Cosmetic Dentistry (PCCD). With three convenient locations in Los Altos, Mountain View, and Cupertino, PCCD is redefining the dental experience for patients seeking world-class cosmetic dentistry in a spa-like setting.

Bleeding Gums After Your 6-Month Cleaning?
Regular check-ups and cleanings at Dental Arts of Mountain View are essential for good dental health. But in some people their gums tend to bleed after a thorough cleaning, causing them concern.Is this a problem? Well, it depends. If your gums bleed for a couple days after your dental cleaning, don’t worry about it.

Think You May Have A Cavity
Your teeth need a lot of tender, loving care. But sometimes, in spite of regular brushing and flossing, we end up with a new cavity – the common cold of dental health. At Dental Arts of Mountain View, we have been filling cavities for years and would be happy to take care of any cavities or other dental issues you are experiencing.

6 Essential Oils for Healthy Gums and Teeth!
Let’s face it; Essential oils are all the rage these days. Known for their unique healing and therapeutic benefits, essential oils have been used for centuries dating all the way back to 2000 BC. In recent years, the rise of essential oils has taken health care to an entirely new perspective, for uses like aromatherapy, ingestion and personal care.

The Not-So-Obvious Benefits Of A Smile Makeover in Cupertino
A smile transformation is transformative for an individual who has been embarrassed by their smile for years. But it's not just about looking younger and more attractive—though it most certainly will do that. It can improve your life in ways that many individuals do not understand.

Toothbrushes Are Not Meant To Polish Your Teeth
Even though we have some of the most advanced and developed dental practices and information available in the world today, there are still a number of people who really don’t know a lot about some of the finer points of oral care.In fact, there are some that aren’t even clear on many of the basics.

Choosing The Bay Area’s Best Cosmetic Dentist
Choosing a cosmetic dentist can be intimidating and overwhelming. Getting the perfect smile that you’ve always dreamed of is a life changing event. You want to feel that you’re in confident and capable hands, you want to love your end results, and you want those results to last a lifetime.

Drinks That Protect Your Teeth From Enamel Erosion
The outermost layer of your teeth is known as enamel. It is the hardest and strongest structure in our body but with bad eating and lifestyle habit, it can grow weak over time.If you have been told you have enamel erosion, the best thing you can do to preserve your tooth health is to limit your intake of sugary and acidic beverages.

What Acid Does To Damage Your Gum Tissues
There are all sorts of things that we eat, chew, and consume that do untold damage to our teeth and gums. From sugary foods to chewing on foreign objects like pencils and pens and drinking too many acidic drinks can all have different and lasting effects on our mouths.

The Best Cosmetic Dentists In The San Francisco Bay Area
A gorgeous smile does a lot for maintaining your overall health and wellness. Peninsula Center of Cosmetic Dentistry (PCCD) uses the best technology and techniques to make sure their patients receive superior treatment and care for every aspect of their treatment.

Use Your Flex Spending Account For Invisalign Treatment-And Get A Discount!
Believe it or not, the end of the year is fast approaching us. Now is the time to schedule for appointments if you intend to use your Flex Spending Account (FSA) for any of your dental treatment plans.The Peninsula Center of Cosmetic Dentistry (PCCD) is pleased to offer $1,000 off Invisalign® treatment for patients starting treatment on or before December 13, 2019.

Drinks That Keep Your Mouth Properly Hydrated Without Causing Damage
At one time or another, we’ve all experienced a dry mouth or chapped lips. More often than not, this is due to a lack of hydration. Dehydration can occur for a number of reasons. Even healthy activities like a morning run or an intense yoga session can cause you to sweat enough to require a hydrating beverage to get your body back in balance.

Benefits Of Using Alcohol-Free Mouthwash
Mouthwash, besides brushing and flossing, helps in improving your oral hygiene and health. There are two types of mouthwash- alcohol-based and alcohol-free mouthwash.Most alcohol-based mouthwashes contain ethanol, which can have an unpleasant aftertaste and result in a dry mouth and a burning sensation.

What Is A Vertical Root Fracture?
A root canal can free your tooth of pain; however, if you feel pain in a tooth after a root canal treatment, you may have a vertical root fracture.Vertical root fractures start at the crown of the tooth and run all the way down to the tooth root that lies underneath the gum.

Water Can Improve The Health Of Your Gums
When people think about their oral hygiene, they often forget that their gums play an important role in keeping their mouth healthy. Your gums are important for many reasons.Keeping them healthy gives your teeth the support they need and can prevent gum disease.
















































